1answer.
Ask question
Login Signup
Ask question
All categories
  • English
  • Mathematics
  • Social Studies
  • Business
  • History
  • Health
  • Geography
  • Biology
  • Physics
  • Chemistry
  • Computers and Technology
  • Arts
  • World Languages
  • Spanish
  • French
  • German
  • Advanced Placement (AP)
  • SAT
  • Medicine
  • Law
  • Engineering
Hunter-Best [27]
3 years ago
15

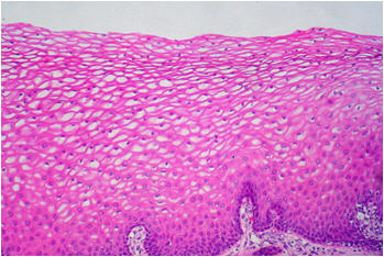
The image below shows a type of human tissue.

Biology
2 answers:
svlad2 [7]3 years ago
7 0

The answer is proctection

inn [45]3 years ago
5 0

Answer: Protection

Explanation: The picture here represents epithelial cells. This is one of the four basic cells present in  the human body. The epithelial cell lines the interior and exterior of the organs.

This cell performs a variety of functions such as secretion, protection, absorption, transport and sensing.

Example: Skin.  The skin protects the body from further infection and so it acts  as a barrier.

You might be interested in
Can you help me with this?
bearhunter [10]

Answer:

A) Deoxyribose- the purple pentagon

B) phosphate - the blue circle

C) nitrogenous base​ - the blue rectangles in the middle that are connected

Explanation:

4 0
3 years ago
Directions Imagine you are writing a paper about why critical thinking skills are important in the workplace. Review the lecture
navik [9.2K]

The reason why critical thinking skills are important in the workplace is because Critical thinking skills are:

  • They are valuable in regards to the roles in an organization.
  • These skills are known to boast or enhance communication and creativity It helps in problem-solving.

<h3>Why is the above case important?</h3>

Thinking critically in the workplace is known to be a factor that helps a person to be able to connect ideas, examine arguments, see errors and solve  issues that are known to be complex in nature.

Note that Critical thinking is very vital in three aspect of business:

  • In leadership
  • In problem-solving
  • In  communication

Citation

Tripathy, Mitashree. (2020). Dimensions of Critical Thinking in Workplace Management & Personal Development: A Conceptual Analysis. Multidisciplinary Journal for Education, Social and Technological Sciences. 7. 10.4995/muse.2020.12925.

Therefore,  The reason why critical thinking skills are important in the workplace is because Critical thinking skills are:

  • They are valuable in regards to the roles in an organization.
  • These skills are known to boast or enhance communication and creativity It helps in problem-solving.

Learn more about thinking skills From

brainly.com/question/11905355

#SPJ1

6 0
2 years ago
Please help me! I don't get it I'm stuck. Draw a food web representing the flow of energy in the ecosystem. Be sure to include a
Llana [10]

Answer:

ur teacher gives u hard shìt ngl

5 0
3 years ago
In addition to natural factors, human activity can also alter ecosystems. Conduct research on a human activity that
victus00 [196]

The human activities in addition to natural factors that can alter the terrestrial ecosystem is deforestation.

<h3>The effects of deforestation on food web</h3>

Deforestation is a the clearing of trees in a large area of land which can be purposeful or by nature.

Human activities that leads to clearing of trees include the following:

  • agricultural expansion,

  • cattle breeding,

  • timber extraction,

  • mining,

  • oil extraction,

  • dam construction and infrastructure development.

One of the negative effects of deforestation on food web is the reduction in food availablity. This is so because of the loss of biodiversity that are source of food to man.

The human activities in addition to natural factors that can alter the terrestrial ecosystem is deforestation.

Learn more about deforestation here:

brainly.com/question/12394613

5 0
2 years ago
Large organic molecules which are synthesized from multiple identical subunits are:
guapka [62]

The key word here is “synthesized”. Polymers are long chains of monomers,
5 0
3 years ago
Read 2 more answers
Other questions:
  • Tongues have the ability to taste sweet, sour, salty, and bitter. true false
    11·2 answers
  • Prokaryotic cells cell walls contain peptidoglycan sensitive to traditional antibacterial antibiotic. True or False
    10·1 answer
  • LINNAEUS classified organisms into two kingdoms. How was his system of classificationImpacted after the invention of the microsc
    9·2 answers
  • Which source of evidence did Wegener use to support his theory of continental drift?
    10·2 answers
  • What is at the top of a level of organization diagram?
    10·2 answers
  • Where is saliva made
    7·1 answer
  • Knowing how food choices impact the function and productivity of cells, why do you think it is important to maintain a healthy d
    11·1 answer
  • PLEASE ANSWER ASAP FOR BRAINESLT!!!!!!!!!!!!!!!!!!
    5·1 answer
  • Question 2 of 7 Which substance do plants use to make sugars? O A. Oxygen B. Ammonia O C. Nitrates O D. Carbon dioxide​
    10·1 answer
  • How do cells in an embryo become different types of cells?
    9·1 answer
Add answer
Login
Not registered? Fast signup
Signup
Login Signup
Ask question!