1answer.
Ask question
Login Signup
Ask question
All categories
  • English
  • Mathematics
  • Social Studies
  • Business
  • History
  • Health
  • Geography
  • Biology
  • Physics
  • Chemistry
  • Computers and Technology
  • Arts
  • World Languages
  • Spanish
  • French
  • German
  • Advanced Placement (AP)
  • SAT
  • Medicine
  • Law
  • Engineering
sesenic [268]
3 years ago
13

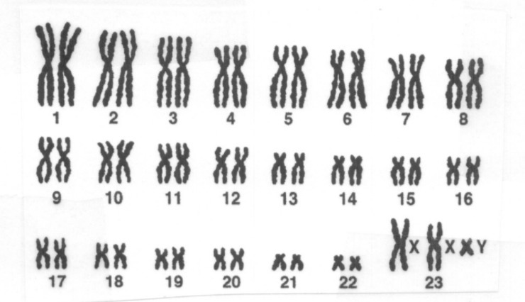
In the human karyotype above, what are the chromosomes in each numbered group called?

Biology
2 answers:
mafiozo [28]3 years ago
7 0

Answer:

B  homologous chromosomes

Explanation:

The each numbered group in human karyotype is known as homologous chromosome. In the homologous pair, one chromosome is derived from father while another one is derived from mother. Like in this given karyotype, there are 23 homologous pairs and in each pair one was carried by sperm while another one was carried by ovum, once they fused during fertilization they paired up. Homologous chromosome pairs contain alleles of same gene located at same loci in both the chromosomes.

Kruka [31]3 years ago
3 0
Answer:
            The correct option is d (diploid chromosome). 
Reason:
            In the karyotype you see that all chromosome pair upto 22 are same but pair number 23rd have different shapes. so the term homozygous, heterozygous and homologous can not be applied. 
You might be interested in
Photosynthetic organisms are ________. Question 10 options: decomposers that obtain nutrients from the soil consumers that obtai
ipn [44]

Answer:

producers that make their own organic matter from inorganic molecules

Explanation:

Phosynthetic organisms are those that capture solar energy and can be used in the production of organic compounds. Through this process they are able to make their own food based on something as simple as sunlight, the organisms that are in this group are: higher plants, algae, some bacteria, which can convert carbon dioxide into organic compounds and of these compounds reduce them into carbohydrates.

The energy necessary for this process to occur, is generated through the light of the same sun, which promotes the activity of these organisms for the preparation of organic compounds and their carbohydrates, which are used by cells as a source of Energy.

It is important to note that most of the foods that are consumed throughout the day and the fossil fuel that is found in nature, are a product of this process called photosynthesis. Photosynthetic organisms are considered to be the largest primary producers within the same trophic chain itself, since among them are those that produce oxygen, which are green plants, algae and some bacteria. But there are also organisms that produce photosynthesis and do not produce oxygen, among these are purple sulfur bacteria and green sulfur bacteria.

5 0
3 years ago
Explain why the amount of rainfall a region receives is a better determination of whether it is a desert than temperature.
Gnoma [55]
<span>As there are many kinds of deserts, some hot, some cold even arid deserts are the classic hot deserts, but there are also cold and coastal deserts where temperatures do not get so high. The element common to all of these types of deserts, however, is their lack of rainfall. In that sense the rainfall is a characteristic that determines if it's a desert.</span>
3 0
3 years ago
Read 2 more answers
In some plants, phloem cells are connected end-to-end by sieve plates, creating a direct connection between the cytoplasm of phl
ella [17]

Answer:

Explanation:

This is because the sieve plate interconnected like that help in exchange of substances or transport of substances between element cell and it act as a barrier to prevent the sap from been loss when phloem is damaged or cut. The sieve plates form the sieve tube which is the conducting element of the phloem. It is formed from series of elongated cells that are interconnected by perforations in their walls.

6 0
3 years ago
Whales and hippos share what 3 characteristics?<br><br><br>source is https://youtu.be/lIEoO5KdPvg
NARA [144]
Answer: Hairlessness and Glands
explanation:Another notable similarity between the two groups is minimal hair. Both hippos and whales possess barely any hair on their bodies. They do not have sweat glands, either. These are both characteristics that can assist them in their aquatic lifestyles.
3 0
3 years ago
What might cause a cold spell in the northern United States?
ehidna [41]
I'm pretty sure it would be D... If that's wrong I'm sorry.
4 0
3 years ago
Other questions:
  • A male rabbit with genotype GgBb x with a female rabbit with genotype ggbb. Set up the Punnett square and determine the expected
    6·1 answer
  • You are growing yeast cells in a culture. After a few days of consistent growth, you notice that cell growth has slowed consider
    8·1 answer
  • How could the botanist best determine whether the genotype of the green-pod plant is homozygous or heterozygous? View Available
    15·1 answer
  • PLEASE HELP ASAP!!! Imagine a rocket launching from earth and travelling to the moon. In which order would the rocket pass throu
    5·2 answers
  • How many times does DNA replication occur in meiosis?
    15·1 answer
  • Which pair correctly associates a physiological process with the appropriate vitamin? question 5 options:
    5·1 answer
  • Question 14 where would you expect to find an island arc system?
    5·1 answer
  • Define Greenhouse Effect. Does earth need a greenhouse effect to support life? What is currently happening with the greenhouse e
    7·1 answer
  • COMPLETE: Create and Complete the following table in a textbox. You can copy and paste this table or construct a new one.
    7·1 answer
  • Cohesion is a property water.Which of the following is NOT an example of cohesion
    6·1 answer
Add answer
Login
Not registered? Fast signup
Signup
Login Signup
Ask question!