1answer.
Ask question
Login Signup
Ask question
All categories
  • English
  • Mathematics
  • Social Studies
  • Business
  • History
  • Health
  • Geography
  • Biology
  • Physics
  • Chemistry
  • Computers and Technology
  • Arts
  • World Languages
  • Spanish
  • French
  • German
  • Advanced Placement (AP)
  • SAT
  • Medicine
  • Law
  • Engineering
SCORPION-xisa [38]
3 years ago
9

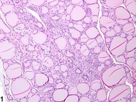
"what are hypertrophy and hyperplasia? how would these processes affect the appearance of the thyroid under the microscope? how

would the gross structure of the thyroid be affected"

Biology
1 answer:
Oxana [17]3 years ago
5 0

Hypertrophy is the increase in the volume of an organ or tissue due to the enlargement of its component cells.

Hyperplasia is the enlargement of an organ or tissue caused by an increase in the reproduction rate of its cells.

In Hypertrophic Thyroid, thyroid follicles may be lined by cuboidal to columnar epithelium with central follicles tightly packed and smaller than normal.

Hyperplasias may contain individual trapped follicles. The generally accepted criteria for hyperplasia is a focal C-cell cluster less than five average follicular diameters or similarly small-sized clusters of C cells scattered in interfollicular spaces.

Hypertrophic thyroid is enlarged in size, appears to be swollen on inspection. Hyperplastic thyroid appears as a lump in the neck.

You might be interested in
If a heterozygous male with the genotype Ww is mated with a homozygous recessive female of genotype ww, there is a chance that o
kotegsom [21]

Answer:

The correct answer is option B: "50%".

Explanation:

The classical Mendel's Law of Segregation states that each individual has two alleles, one that is passed from each parent. In this example the W gene has a W dominant allele and one w recessive allele. If a Ww heterozygous male is mated with a ww homozygous recessive female there is a 50% chance that the offspring will be heterozygous. This result considering that Gregor Mendel's rules dictate that the offspring's genotype of the aforementioned crossing will be 50% Ww and 50% ww.

3 0
4 years ago
Read 2 more answers
A nucleosome forms hydrogen bonds with what part of the dna?
zhuklara [117]

Answer:

A nucleosome forms hydrogen bonds with the phosphodiester backbone and with bases <em>(via the minor groove) </em>of dna.

7 0
3 years ago
how many net atp molecules are produced for each glucose molecule that is oxidized fully to carbon dioxide through glycolysis, t
zavuch27 [327]

Net 38 ATP is generated on oxidation of glucose.

Glucose is utilised in the body for generation of energy. The process of energy manufacturing can be aerobic, anaerobic or fermentative.

Though other processes are fast, they are associated with low ATP output. The aerobic respiration involves three steps. These are anaerobic glycolysis and oxygen requiring Kreb's cycle and oxidative phosphorylation.

The glycolysis is converted to pyruvate. It is further used by Kreb's cycle to generate NADH and FADH_{2}. NADH and FADH_{2}. donates the electron in oxidative phosphorylation which eventually assists in generating ATP.

Learn more about aerobic respiration -

brainly.com/question/11691469

#SPJ4

3 0
1 year ago
Explain why almost all organisms depend on photosynthesis
diamong [38]
Photosynthesis is used by plants to crest food. This is essential to all life because of the oxygen plants give off in the process, and the food source the plant becomes.
4 0
3 years ago
A change in an organism that may be better suited for the environment
anygoal [31]

Answer: evolution

Explanation:

6 0
3 years ago
Other questions:
  • If an ecosystem is disturbed, goes out of balance, and cannot return to a state of equilibrium, the species living there will mo
    5·2 answers
  • Which statement about DNA replication is true?
    12·1 answer
  • Please helppppppppppppppp
    14·2 answers
  • When performing a small bowel follow though, the contrast must reach which anatomic structure before performing compression view
    6·1 answer
  • The anterior (ventral) rootlets carry ___________ impulses to the spinal nerves.
    15·1 answer
  • HUUURRRYRRRRRRYY PLEEEEAAAASSSSSEEEEE!!!!!!
    10·1 answer
  • Is there any solid scientific evidence that humans have been cloned?
    10·1 answer
  • Observable matter makes up about what percentage of the universe?<br> 5%<br> 12%<br> 50%<br> 95%
    10·2 answers
  • Help me please!<br><br>Cystic Fribrosis...<br><br><br>.​
    15·1 answer
  • Giving everything!!!!!!!!! Plzzzz help!!!!!!!!!!! ASAP!!
    8·1 answer
Add answer
Login
Not registered? Fast signup
Signup
Login Signup
Ask question!