1answer.
Ask question
Login Signup
Ask question
All categories
  • English
  • Mathematics
  • Social Studies
  • Business
  • History
  • Health
  • Geography
  • Biology
  • Physics
  • Chemistry
  • Computers and Technology
  • Arts
  • World Languages
  • Spanish
  • French
  • German
  • Advanced Placement (AP)
  • SAT
  • Medicine
  • Law
  • Engineering
wolverine [178]
3 years ago
10

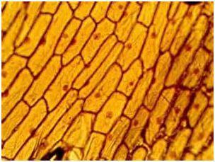
While looking in a microscope, you see this same specimen, which is magnified 100X. Determine its type of cells and the level of

biological organization. Give evidence used to make your determination.

Biology
1 answer:
8_murik_8 [283]3 years ago
4 0
The answer is Determinate 50x
You might be interested in
What do the polar bears, reindeer, and shrubs that live in a single area make up?
Kryger [21]
<span>polar bears, reindeer, and shrubs that live in a single area make up an </span>ecosystem
4 0
3 years ago
Selective permeability means that specific molecules or ions can move through the cell membrane by passive transport or active t
Dafna1 [17]

Answer:

With microscope.

Explanation:

Every cell has a selective permeable membrane in which smaller molecules can pass whereas bigger molecules stays outside the cell which can be seen in the cell with the use of microscope because it only occurs inside the cell. The movement of ions or molecules in the cell through a semi permeable membrane is called Osmosis. The movement of ions or molecules sometime needs energy we called it active transport and sometimes it moves without the use of energy is known as passive transport.

6 0
3 years ago
Portfolio on what wears down and builds up earths surface
lukranit [14]

Answer: Erosion

Explanation:

6 0
3 years ago
If you observed a cell under a microscope and saw
spayn [35]
Alright cool... and saw what..?
8 0
4 years ago
It is appropriate for clients diagnosed with type 2 diabetes to take oral antidiabetic agents and forego recommended dietary cha
Mekhanik [1.2K]

It is not appropriate.

6 0
4 years ago
Other questions:
  • Which phrase describes one type of freshwater wetland? Acidic areas found in northern climates Reservoirs created by dams at the
    13·2 answers
  • The populations of counties around the world are? increasing and decreasing
    13·2 answers
  • 4. What are two benefits of GMO?
    13·2 answers
  • The nurse has received a medication order over the telephone from a provider. what is the next appropriate nursing action?
    9·1 answer
  • What are the molecules that use energy in electrons to create protein gradient
    7·2 answers
  • RNA splicing occurs in eukaryotic cells prior to translation. During this process ______ are left
    13·1 answer
  • Which of the following Venn diagrams would BEST be suited to represent the three categories of animals?
    15·1 answer
  • Without mutations, there would not be ____. A. identical offspring. B. increase in populations. C. genetic diversity. D. increas
    14·1 answer
  • Which two body systems alert the young bird to the danger and help produce the vomit it uses as a defence?​
    10·1 answer
  • 12. What are the reactants of reaction A? <br><br> 13. What are the products of reaction A?
    15·1 answer
Add answer
Login
Not registered? Fast signup
Signup
Login Signup
Ask question!